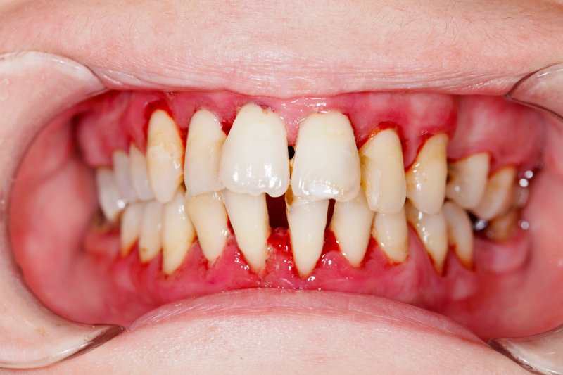
أمراض اللثة أو التهاب دواعم الأسنان هي واحدة من أكثر المشاكل الشائعة في الأسنان التي يمكن أن تؤثر بشكل كبير على صحة الفم والجسم. يبدأ هذا المرض بالتهاب اللثة، وإذا لم يتم علاجه، قد يؤدي إلى فقدان الأسنان وحتى مشاكل أكثر خطورة مثل الأمراض القلبية. في هذه المقالة، نناقش طرق علاج أمراض اللثة المختلفة، فوائدها وعيوبها، وأهمية طب الأسنان في إيران في تقديم العلاجات المتقدمة.
-
أسباب وأعراض أمراض اللثة
- نزيف اللثة أثناء التنظيف بالفرشاة أو استخدام خيط الأسنان
- تورم، احمرار وحساسية اللثة
- رائحة فم كريهة
- الأسنان المتحركة والحساسة تجاه الحرارة والبرودة
.2 طرق علاج أمراض اللثة
2.1 تنظيف الأسنان المهني (التقشير والتخطيط الجذري)
هذه الطريقة هي واحدة من أبسط وأبزر طرق العلاج الفعّالة لأمراض اللثة. في هذا العلاج، يقوم طبيب الأسنان بإزالة الترسبات والبلاك المتراكم على سطح الأسنان وتحت اللثة. يمكن أن يساعد هذا العلاج في منع تقدم المرض ويسمح للثة بالشفاء.
الفوائد:
• منع تقدم المرض
• تقليل الالتهاب ونزيف اللثة
• تحسين صحة الفم
العيوب:
• قد يتطلب تخديرًا بسبب الألم والحساسية
• قد يحتاج إلى عدة جلسات علاجية

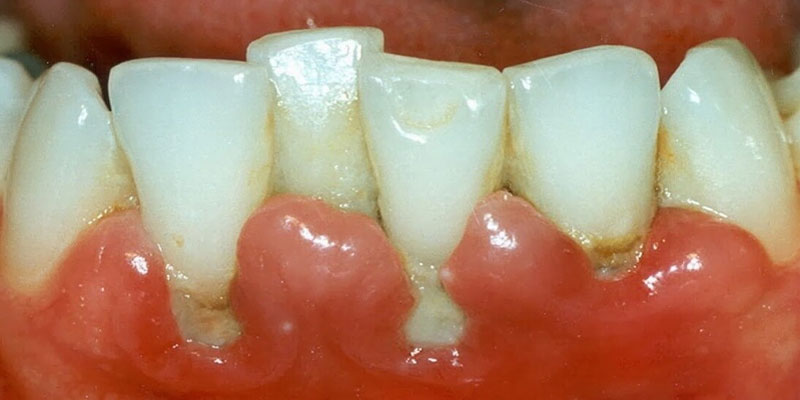
2.2 جراحة اللثة
إذا كانت أمراض اللثة شديدة، فقد يكون من الضروري إجراء جراحة لثوية. تتضمن هذه الطريقة إجراء جراحة لإصلاح اللثة، تنظيف أعمق وأحيانًا ترقيع الأنسجة.
الفوائد:
• تحسين حالة اللثة ومنع المشاكل الأكثر خطورة
• إمكانية إصلاح الأنسجة التالفة
العيوب:
• يحتاج إلى فترة نقاهة أطول
• تكاليف عالية وضرورة زيارات متكررة للطبيب
2.3 العلاج الدوائي
في بعض الحالات، قد يصف طبيب الأسنان أدوية مثل المضادات الحيوية أو غسولات الفم الخاصة لتقليل التهاب اللثة والسيطرة على العدوى.
الفوائد:
• علاج غير جراحي وبسيط
• تقليل الالتهاب والوقاية من العدوى
العيوب:
• قد يكون فعالًا بشكل مؤقت فقط
• قد يسبب آثارًا جانبية مثل تغير في طعم الفم أو جفاف الفم

أهمية الوقاية من أمراض اللثة
غسول الفم لعلاج التهابات اللثة
وفقًا للعديد من المصادر، فإن اتباع نقطتين مهمتين في الوقاية من أمراض الفم والأسنان أمر بالغ الأهمية: أولاً، الحفاظ على نظافة الفم، وثانيًا، تجنب التدخين. إن الحفاظ على صحة اللثة ومنع الالتهابات يمكن أن يكون أمرًا سهلاً إذا كنت تتبع روتينًا يوميًا للعناية بالفم باستخدام فرشاة الأسنان والخيط السني واستخدام السواك، ويفضل أن يكون ذلك يوميًا. من خلال اتباع هذه الإرشادات، يمكنك تقليل بشكل كبير من خطر الإصابة بأمراض اللثة والالتهابات وتسوس الأسنان والمشاكل الفموية الأخرى. قم بوضع برنامج يومي منتظم لصحة فمك والالتزام به. بالتأكيد ستستفيد من هذه العادة الصحية.

- اغسل أسنانك مرتين في اليوم.يعد غسل الأسنان بمعجون أسنان يحتوي على الفلورايد، مثل معجون الأسنان المضاد للتسمم اللثوي، مرتين يوميًا أمرًا مناسبًا. هذه المعاجين المضادة للالتهابات تعمل على تحييد البكتيريا التي توجد حول
- خط اللثة بلطف.
- استخدم غسول الفم المضاد للالتهابات اللثوية.
هناك أنواع مختلفة من هذه الغسولات، وبعضها أكثر فائدة، مثل غسول الفم الذي يمنع تكون تجاويف الأسنان وغسول الفم المبيض. - قم بزيارة طبيب الأسنان المتخصص على الأقل مرتين في السنة لإجراء فحص مهني؛
لأنه يوجد رواسب على الأسنان لا يمكنك إزالتها بالعناية المنزلية. - اشطف فمك بالماء النظيف بعد كل وجبة.
- للتقليل من التورم وقتل البكتيريا، قم بالمضمضة بماء دافئ وملح.
- .6قلل من تناول الأطعمة السكرية والمشروبات الغازية.
- طب الأسنان في إيران: رائد في علاج أمراض اللثة
قوة إيران في طب الأسنان في الشرق الأوسط
يعد طب الأسنان في إيران من القوى البارزة في العالم في مجال علاج أمراض الفم والأسنان. العديد من أطباء الأسنان الإيرانيين متخصصون في مجالات متعددة مثل علاج أمراض اللثة، وزراعة الأسنان، والتجميل، وترميم الأسنان، ويستخدمون تقنيات حديثة في علاج المرضى. مع وجود أطباء متخصصين وعيادات مجهزة، تعد إيران خيارًا ممتازًا للأشخاص الذين يبحثون عن علاجات عالية الجودة وبأسعار معقولة.
الخاتمة
علاج أمراض اللثة أمر بالغ الأهمية للحفاظ على صحة الفم والأسنان. هناك العديد من طرق العلاج التي يمكن أن تكون فعالة حسب شدة المرض واحتياجات المريض. كما أن الوقاية والعناية اليومية يمكن أن تمنع حدوث هذا المرض. طب الأسنان في إيران، بفضل تخصصه ومعداته المتقدمة، يمكنه مساعدتك في علاج أمراض اللثة وحماية صحة فمك وأسنانك.
الأسئلة الشائعة
-
ما هو مرض اللثة؟
مرض اللثة هو التهاب يصيب اللثة والأنسجة الداعمة المحيطة بالأسنان، وإذا لم يُعالَج في الوقت المناسب، فقد يتطوّر ليؤدي إلى التهابات أشد خطورة، بل وقد يُفضي إلى فقدان الأسنان.
-
ما هي أعراض مرض اللثة؟
من الأعراض الشائعة: نزيف اللثة، احمرارها وتورمها، رائحة الفم الكريهة، حساسية الأسنان، وتخلخلها أو حركتها غير الطبيعية.
-
كيف يُعالج مرض اللثة؟
يعتمد العلاج على درجة تقدم المرض، وقد يشمل تنظيفًا عميقًا للثة، أو استخدام أدوية موضعية وعامة، أو جراحات لثوية، بالإضافة إلى تعديل النظام الغذائي ونمط الحياة.
-
هل يمكن أن يؤدي مرض اللثة إلى مشكلات صحية أخرى؟
نعم، فقد يرتبط مرض اللثة بأمراض عامة أكثر خطورة، مثل الالتهابات الجهازية، أمراض القلب، السكري، ومشكلات في الجهاز التنفسي.
-
كيف نقي أنفسنا من مرض اللثة؟
الوقاية تبدأ بالعناية اليومية؛ من خلال تنظيف الأسنان بالفرشاة والخيط، وزيارة طبيب الأسنان بانتظام، والحرص على تغذية صحية، والابتعاد عن التدخين وسائر العادات الضارة.
-
هل علاج مرض اللثة مؤلم؟
في معظم الحالات، لا يسبب العلاج ألمًا يُذكر، وإن كانت بعض الإجراءات قد ترافقها درجة بسيطة من الانزعاج، سرعان ما تزول.
-
هل يُعتبر علاج مرض اللثة نهائيًا؟
مرض اللثة قد يعود إذا أُهملت العناية به، لذا من الضروري الحفاظ على نظافة الفم واللثة باستمرار للوقاية من تكرار الإصابة.
-
لماذا ينبغي أن نأخذ مرض اللثة على محمل الجد؟
لأن إهماله قد يؤدي إلى فقدان الأسنان، ويؤثر سلبًا على صحة الإنسان العامة. لذا فإن التشخيص المبكر والعلاج السريع يُعدان أمرين بالغَي الأهمية.