• 9809171884195 +
  • الصفحة الرئیسیة
  • معلومات عنا
  • الشهادات
  • الإجراءات
    • الخدمات الطبية
    • طب الأسنان
    • الجراحة التجميلية
  • خدمات سفر
    • تأشيرة
    • تذكرة
      • رحلة جوية
      • قطار
    • جولات
    • الفنادق
  • مدونة
  • اتصل بنا
  • المستشفى
  • معرض الصور
  • العربية
  • الصفحة الرئیسیة
  • معلومات عنا
  • الشهادات
  • الإجراءات
    • الخدمات الطبية
    • طب الأسنان
    • الجراحة التجميلية
  • خدمات سفر
    • تأشيرة
    • تذكرة
      • رحلة جوية
      • قطار
    • جولات
    • الفنادق
  • مدونة
  • اتصل بنا
  • المستشفى
  • معرض الصور
  • العربية
  • الصفحة الرئیسیة
  • معلومات عنا
  • الشهادات
  • الإجراءات
    • الخدمات الطبية
    • طب الأسنان
    • الجراحة التجميلية
  • خدمات سفر
    • تأشيرة
    • تذكرة
      • رحلة جوية
      • قطار
    • جولات
    • الفنادق
  • مدونة
  • اتصل بنا
  • المستشفى
  • معرض الصور
  • العربية
  • الصفحة الرئیسیة
  • معلومات عنا
  • الشهادات
  • الإجراءات
    • الخدمات الطبية
    • طب الأسنان
    • الجراحة التجميلية
  • خدمات سفر
    • تأشيرة
    • تذكرة
      • رحلة جوية
      • قطار
    • جولات
    • الفنادق
  • مدونة
  • اتصل بنا
  • المستشفى
  • معرض الصور
  • العربية

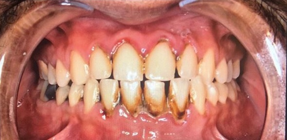
الجنجيویت، أو التهاب اللثة، هو أحد أكثر أمراض الفم والأسنان شيوعاً، ويظهر في المراحل المبكرة من أمراض اللثة. يتميز هذا المرض باحمرار وتورم وأحياناً نزيف اللثة عند تنظيف الأسنان أو استخدام الخيط. وإذا لم يتم معالجته، يمكن أن يؤدي الجنجيویت إلى أمراض أكثر خطورة مثل التهاب اللثة المتقدم (بريودنتیت) مما يؤدي إلى تآكل اللثة وحتى فقدان الأسنان.

أعراض الجنجيویت:

• احمرار وتورم اللثة
• نزيف عند تنظيف الأسنان أو استخدام الخيط
• رائحة فم كريهة مستمرة
• حساسية أو ألم خفيف في اللثة
• تآكل تدريجي للثة

أسباب الإصابة بالجنجيویت:

السبب الرئيسي للجنجيویت هو تراكم البلاك البكتيري على خط اللثة. ولكن هناك عدة عوامل يمكن أن تزيد من خطر الإصابة:
• عدم الحفاظ على نظافة الفم والأسنان
• التدخين
• مرض السكري وبعض أمراض المناعة
• التغيرات الهرمونية (مثل الحمل أو البلوغ)
• نقص فيتامين C
• استخدام بعض الأدوية مثل أدوية مضادة للتشنجات أو أدوية ضغط الدم

مضاعفات الجنجيویت غير المعالج:

• زيادة خطر الإصابة بالتهاب اللثة المتقدم (بريودنتیت)
• اهتزاز وفقدان الأسنان
• تأثيرات سلبية على الصحة العامة للجسم (مثل الأمراض القلبية، السكري، الولادة المبكرة…)
• انخفاض الثقة بالنفس بسبب رائحة الفم الكريهة أو مظهر اللثة
• تكاليف علاجية مرتفعة في المراحل المتقدمة

طرق علاج الجنجيویت:

العلاج المنزلي والرعاية الأولية:
• تنظيف الأسنان بشكل صحيح ومنتظم (على الأقل مرتين في اليوم)
• استخدام الخيط وغسول الفم المطهر
• اتباع نظام غذائي صحي وتناول أطعمة غنية بفيتامين C و D
• الإقلاع عن التدخين وتقليل استهلاك السكريات

العلاج المتخصص في طب الأسنان:

• تنظيف الأسنان المهني بواسطة طبيب الأسنان
• استخدام المضادات الحيوية الموضعية أو الفموية في الحالات الشديدة
• جراحة اللثة في الحالات المتقدمة (مثل جراحة الطي أو إعادة بناء اللثة)

فوائد العلاج المبكر للجنجيویت:

• منع تقدم المرض إلى التهاب اللثة المتقدم (بريودنتیت)
• الحفاظ على الأسنان والأنسجة المحيطة بها
• تحسين الصحة العامة للجسم
• زيادة جمال الابتسامة والثقة بالنفس
• تقليل التكاليف العلاجية في المستقبل

طب الأسنان في إيران؛ نقطة القوة في علاج أمراض اللثة:

تعد إيران من الدول الرائدة في علاج أمراض اللثة بفضل المتخصصين المتمكنين في مجال علاج اللثة (البريودنتولوجي)، والمعدات المتطورة، والخدمات المهنية.
في عيادات الأسنان التخصصية في إيران، يتم تشخيص وعلاج الجنجيویت بدقة عالية وبأسعار مناسبة، بما يتوافق مع المعايير العالمية. حضور أطباء الأسنان المدربين علمياً يزيد من ثقة المرضى ويضمن لهم علاجاً متميزاً.

وفي إيران ميديكال، نوفّر خدمات الرعاية الطبية الشاملة، بما في ذلك استقبال السياح العلاجيين، وخاصةً من دول الشرق الأوسط، ونُقدّم لهم تسهيلات الحصول على التأشيرة الطبية والعلاج بكل تفاصيله.

طرق الوقاية من الجنجيویت:

• الحفاظ على نظافة الفم والأسنان بشكل منتظم
• زيارة طبيب الأسنان بانتظام للفحص وتنظيف الأسنان
• اتباع نظام غذائي متوازن يحتوي على العناصر الغذائية الأساسية
• شرب كميات كافية من الماء
• الإقلاع عن التدخين

الوقاية من التهاب اللثة:

النظافة الجيدة للفم تعني أن تقوم بتنظيف أسنانك مرتين على الأقل يومياً لمدة دقيقتين، في الصباح قبل الذهاب إلى السرير، وعلى الأقل مرة واحدة في اليوم باستخدام الخيط. من الأفضل تنظيف الأسنان بعد كل وجبة أو وجبة خفيفة، أو كما يوصي طبيبك. كما أن استخدام الخيط قبل تنظيف الأسنان يساعد في إزالة بقايا الطعام والبكتيريا المتراكمة.
الزيارة المنتظمة لطبيب الأسنان، عادةً مرة كل 6 إلى 12 شهراً، ضرورية للتنظيف. إذا كنت معرضاً لخطر الإصابة بالتهاب اللثة المتقدم (بريودنتیت) بسبب عوامل مثل جفاف الفم، أو تناول بعض الأدوية، أو التدخين، فيجب أن تكون أكثر حرصاً في تنظيف أسنانك. يمكن أن تساعد الأشعة السينية السنوية في الكشف عن الأمراض التي لا تظهر خلال الفحص البصري.
العناية الجيدة تشمل أيضاً التغذية السليمة وإدارة مستوى السكر في الدم إذا كنت مصاباً بالسكري، مما يساهم في الحفاظ على صحة اللثة.

علاج التهاب اللثة (الجنجيویت):

علاج التهاب اللثة (الجنجيویت) يشمل عادةً الخطوات التالية:

تنظيف الأسنان واللثة:

أول خطوة في العلاج هي إزالة البلاك والجير السني، حيث يعتبران السبب الرئيس لالتهاب اللثة. يتم ذلك من قبل طبيب الأسنان باستخدام أدوات خاصة لتنظيف الأسنان.

ترميم الأسنان:

في حال وجود أسنان غير مرتبة أو تيجان أو جسر أسنان أو ترميمات أخرى غير مناسبة قد تهيج اللثة وتزيد من صعوبة إزالة البلاك خلال العناية اليومية بالفم، إذا كانت مشكلات الأسنان أو الترميمات تساهم في التهاب اللثة، قد يوصي طبيبك بحل هذه المشكلات.

التنظيف السليم والمنظم للأسنان:

من المهم استخدام فرشاة أسنان ناعمة وتنظيف الأسنان مرتين على الأقل يومياً باستخدام معجون أسنان يحتوي على الفلورايد. كما أن استخدام الخيط السني يساعد في تنظيف بين الأسنان وإزالة البلاك.

غسولات الفم المضادة للبكتيريا:

قد يصف طبيب الأسنان غسولات فموية مضادة للبكتيريا للتحكم في العدوى وتقليل الالتهاب. تساعد هذه الغسولات في تقليل البلاك والبكتيريا الموجودة في الفم.

التحكم في عوامل الخطر:

إذا كانت هناك عوامل مثل التدخين أو السكري أو التغذية غير السليمة تساهم في التهاب اللثة، يجب السيطرة عليها. يمكن أن يساعد الإقلاع عن التدخين، تحسين النظام الغذائي، والتحكم في مستوى السكر في الدم في علاج الحالة بشكل فعال.

المتابعة والعناية الدورية:

بعد العلاج الأولي، يحدد طبيب الأسنان جدولاً للمتابعة وتنظيف الأسنان بشكل دوري لمنع عودة التهاب اللثة.
إذا لم يتم علاج التهاب اللثة وتحول إلى التهاب اللثة المتقدم (بريودنتیت)، قد يتطلب الأمر علاجات أكثر تعقيداً مثل جراحة اللثة.

متى يجب زيارة طبيب الأسنان؟

  1. نزيف اللثة عند تنظيف الأسنان أو استخدام الخيط السني.
  2. استمرار تورم واحمرار اللثة.
  3. ألم أو حساسية في اللثة، خاصة عند تناول الأطعمة الساخنة أو الباردة.
  4. رائحة فم كريهة.
  5. تراجع اللثة.
  6. تغيرات في وضعية الأسنان.

إذا لاحظت أي من هذه الأعراض، فإن زيارة طبيب الأسنان للتشخيص الدقيق وبدء العلاج أمر ضروري. العلاج المبكر يمكن أن يمنع تقدم المرض وتجنب المشاكل الأكثر خطورة.

الأسئلة الشائعة

  1. ما هو الجنجيویت؟

    الجنجيویت هو التهاب اللثة الذي ينشأ عادةً بسبب تراكم البلاك البكتيري على الأسنان.

  2. ما هي الأعراض التي تشير إلى الجنجيویت؟

    تشمل الأعراض الشائعة للجنجيویت احمرار وتورم اللثة، نزيف اللثة عند تنظيف الأسنان أو استخدام الخيط السني، ورائحة الفم الكريهة.

  3. ما هي الأسباب التي تؤدي إلى الجنجيویت؟

    تشمل الأسباب الرئيسية عدم الحفاظ على نظافة الفم والأسنان، تراكم البلاك السني، عدم استخدام الخيط السني، التدخين، وبعض الأمراض مثل السكري.

  4. هل الجنجيویت يسبب الألم؟

    عادةً ما لا يسبب الجنجيویت ألمًا شديدًا، لكن قد يصاحبه شعور بعدم الراحة أو حساسية في اللثة.

  5. كيف يمكن الوقاية من الجنجيویت؟

    من أهم طرق الوقاية تنظيف الأسنان بانتظام، استخدام الخيط السني، زيارة طبيب الأسنان للفحوصات الدورية، والابتعاد عن التدخين والأطعمة السكرية.

  6. هل الجنجيویت قابل للعلاج؟

    نعم، يمكن علاج الجنجيویت من خلال الحفاظ على نظافة الفم والأسنان والعلاجات السنية مثل تنظيف الأسنان العميق.

  7. هل يمكن أن يؤدي الجنجيویت إلى أمراض أخرى؟

    إذا لم يتم علاجه، يمكن أن يتحول الجنجيویت إلى التهاب اللثة المتقدم (بريودنتیت)، مما قد يؤدي إلى فقدان الأسنان وتلف في عظام الفك.

  8. هل يمكن للجنجيویت أن يتحسن تلقائيًا؟

    لا، الجنجيویت لا يتحسن من تلقاء نفسه دون العلاج والالتزام بنظافة الفم، وقد يتفاقم إذا لم يتم علاجه.

  9. كيف يشخص أطباء الأسنان الجنجيویت؟

    عادةً ما يقوم أطباء الأسنان بتشخيص الجنجيویت من خلال الفحص البدني للأسنان واللثة، وإذا لزم الأمر، باستخدام الأشعة السينية.

  10. هل العلاج للجنجيویت متاح في إيران؟

    نعم، إيران تضم أطباء أسنان متخصصين ومعدات متقدمة لعلاج الجنجيویت وأمراض اللثة الأخرى.

وفي إيران ميديكال، نوفّر خدمات الرعاية الطبية الشاملة، بما في ذلك استقبال السياح العلاجيين، وخاصةً من دول الشرق الأوسط، ونُقدّم لهم تسهيلات الحصول على التأشيرة الطبية والعلاج بكل تفاصيله.

Get Free Consultation

Contact a consultant

989022884747+

Get support

989171884195+

Get information

989398431702+

Next to Ariana Hotel, Zand Street, Ahli Street, Shiraz, Iran

We are here and ready to answer all your questions.

info@iranmedicaltravel.com

Design by Farazgaman

© 2020 iran medical travel, Co. By using this site, you consent to the use of cookies.

احصل على استشارة مجانية

اتصل بمستشار

989022884747+

احصل على الدعم

989171884195+

احصل على المعلومات

989398431702+

بجوار فندق أريانا، شارع زند، شارع أهلي، شيراز، إيران

نحن هنا وعلى استعداد للإجابة على جميع أسئلتك.

info@iranmedicaltravel.com

Design by Farazgaman

© 2020 iran medical travel, Co. By using this site, you consent to the use of cookies.